Pneumonia la copii: simptome, cauze și tratament
Pneumonia este o infecție serioasă a plămânilor, care poate afecta copiii de toate vârstele, de la nou-născuți până la adolescenți.
Aceasta se manifestă prin inflamarea alveolelor pulmonare, care se umplu cu lichid, îngreunând respirația și reducând aportul de oxigen în organism.
Boala poate fi cauzată de o varietate de agenți patogeni, inclusiv bacterii, virusuri și, mai rar, fungi.
Printre cele mai frecvente bacterii responsabile se numără Streptococcus pneumoniae și Haemophilus influenzae, în timp ce virusurile precum virusul sincițial respirator (VSR) sau gripa pot declanșa forme virale ale bolii. Pneumonia fungică este mai rară și apare, de obicei, la copiii cu un sistem imunitar slăbit.
Care sunt simptomele?
Tabloul clinic al pneumoniei variază în funcție de vârsta pacientului, agentul etiologic, prezența factorilor de risc asociați și severitatea bolii. Din acest motiv, nu există un semn sau un simptom unic și specific care să permită stabilirea unui diagnostic cert de pneumonie. Cu toate acestea, anumite manifestări clinice sunt întâlnite frecvent și pot sugera prezența bolii, necesitând evaluare medicală de specialitate.
Printre cele mai comune simptome ale pneumoniei se numără:
- Febră înaltă, adesea depășind 39°C, însoțită de frisoane și transpirații abundente. În unele cazuri, febra poate fi moderată, mai ales la sugari sau la copiii cu un sistem imunitar slăbit.
- Tuse persistentă, care poate fi uscată sau productivă, cu expectorație de mucus alb, galben-verzui sau, în cazuri rare, cu striuri de sânge.
- Dificultăți de respirație, manifestate prin:
- Respirație rapidă (tahipnee), uneori superficială și sacadată (vezi videoclipul despre pneumonie).
- Efort respirator vizibil, evidențiat prin retracția intercostală (strângerea pielii dintre coaste la fiecare inspirație) sau utilizarea mușchilor accesori ai respirației.
- Senzație de sufocare sau de „sete de aer”, mai ales la copiii mai mari.
- Sunete respiratorii anormale, detectabile fie de către părinți, fie de medic la ascultarea plămânilor:
- Wheezing (șuierături la expirație), mai frecvent în pneumonia virală.
- Raluri crepitante (sunete fine, ca niște pocnituri), specifice afectării alveolare.
- Geamăt expirator, observat mai ales la sugari, indicând dificultăți severe de respirație.
- Simptome generale și de severitate, care pot indica o formă gravă a bolii:
- Letargie sau iritabilitate – copilul poate fi foarte somnolent, apatic sau, dimpotrivă, agitat și inconsolabil.
- Cianoză – colorarea albăstruie a buzelor, vârfului degetelor sau pielii, semn al unei oxigenări insuficiente a sângelui. Acesta este un simptom de urgență medicală și necesită intervenție imediată.
În funcție de agentul cauzator, pneumonia poate avea particularități clinice specifice. De exemplu, pneumonia bacteriană este caracterizată printr-un debut brusc, febră ridicată și simptome respiratorii severe, în timp ce pneumonia virală poate evolua mai lent, cu simptome inițiale asemănătoare unei răceli, urmate de tuse și dificultăți respiratorii.
Unul dintre cele mai importante indicii că un copil ar putea suferi de pneumonie, în special dacă are mai puțin de 3 ani, este polipneea – respirația rapidă și superficială, caracterizată printr-o frecvență și amplitudine crescute. Aceasta apare ca răspuns la scăderea oxigenului din sânge și la dificultatea organismului de a menține o respirație eficientă.
Cum poți calcula frecvența respiratorie a copilului?
Monitorizarea frecvenței respiratorii este un instrument simplu și util pentru părinți, care poate ajuta la identificarea unei posibile pneumonii. Pentru a face acest lucru, urmează acești pași:
- Ai nevoie de un cronometru, fie de pe ceas, fie de pe telefonul mobil.
- Observă atent pieptul copilului în timp ce respiră, așezându-l într-o poziție relaxată, ideal atunci când doarme sau este calm.
- Numără de câte ori se ridică toracele timp de 15 secunde.
- Înmulțește rezultatul obținut cu 4 pentru a calcula frecvența respiratorie pe minut.
Limitele normale ale frecvenței respiratorii în funcție de vârstă
Pentru a evalua dacă respirația copilului tău se încadrează în parametrii normali, folosește acest tabel.


Dacă frecvența respiratorie a copilului depășește aceste limite și este însoțită de alte simptome precum febră, tuse, dificultăți de respirație sau letargie, este recomandat să consulți un medic cât mai curând posibil. O frecvență respiratorie crescută poate indica prezența unei infecții pulmonare sau a unei alte afecțiuni respiratorii care necesită evaluare medicală.
În cazurile severe, polipneea poate fi însoțită de semne de efort respirator accentuat, cum ar fi:
- Retracția intercostală (pielea dintre coaste se strânge vizibil la fiecare respirație).
- Geamăt expirator.
- Cianoză (colorarea albăstruie a buzelor și a degetelor).
Aceste semne necesită asistență medicală de urgență. Monitorizarea atentă a respirației copilului poate contribui la depistarea precoce a pneumoniei și la inițierea unui tratament adecvat, reducând riscul de complicații.
Ce analize sunt necesare pentru diagnosticarea pneumoniei?
Pentru a confirma diagnosticul de pneumonie și a identifica agentul cauzator, medicul poate recomanda o serie de investigații de laborator și imagistice. Aceste analize ajută la diferențierea pneumoniei virale de cea bacteriană și la stabilirea unui tratament adecvat.
1. Analize de sânge
Testele de sânge pot indica prezența unei infecții și severitatea inflamației din organism. Cele mai frecvent utilizate sunt:
- Hemograma completă – evidențiază modificări ale celulelor albe din sânge (leucocitele), care pot sugera tipul infecției:
- Leucocite și neutrofile crescute → indică o infecție bacteriană.
- Leucocite normale sau ușor crescute, cu limfocitoză → sugerează o infecție virală.
- Proteina C reactivă (CRP) – marker al inflamației, care poate fi crescut în infecțiile bacteriene și severe.
II. Testarea virusurilor
În special în sezonul rece, testele pentru virusuri sunt utile pentru a identifica infecțiile virale care pot cauza pneumonie. Acestea ajută la diferențierea pneumoniei virale de cea bacteriană și pot preveni utilizarea inutilă a antibioticelor. Cele mai frecvent utilizate teste includ:
- Testul rapid antigenic – detectează prezența virusului gripal (Influenza A și B) sau a virusului sincițial respirator (VSR), care sunt cauze frecvente ale pneumoniei virale la copii.
- Reacția de polimerizare în lanț (PCR) – un test mai sensibil, utilizat pentru identificarea diferitelor virusuri respiratorii (adenovirusuri, coronavirusuri, metapneumovirus etc.). Acesta este adesea folosit în spitale sau pentru pacienții cu forme severe de boală.
Dacă pneumonia este de cauză virală, tratamentul se axează pe controlul simptomelor, fără administrarea de antibiotice, care sunt eficiente doar împotriva infecțiilor bacteriene.
Radiografia toracică
Radiografia pulmonară este considerată standardul de aur pentru confirmarea pneumoniei, în special în cazurile complicate sau când diagnosticul clinic este incert. Aceasta ajută nu doar la confirmarea infecției, ci și la diferențierea tipurilor de pneumonie, ceea ce poate orienta tratamentul.
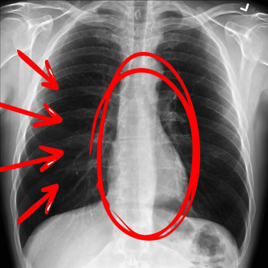
Cum interpretăm o radiografie toracică?
Radiografia pulmonară normală:
- În imagine, inima este vizibilă în partea centrală (cercul roșu din imagine)
- Zonele negre reprezintă aerul din plămâni, ceea ce indică o funcționare normală a acestora ( săgețile roșii din imagine)
- Oasele (coastele, claviculele și coloana vertebrală) apar mai albe, datorită densității osoase.
Pneumonia interstițială
- Deobicei este virală
- Este caracterizată de simptome mai ușoare, cu febră moderată, tuse și polipnee.
- Pe radiografie, se observă desen pulmonar accentuat, adică modificări difuze în plămâni care indică inflamația țesutului interstițial (rețeaua de susținere a plămânilor).
- Acest tip de pneumonie este mai frecvent la sugari și copii mici și are, în general, o evoluție mai ușoară.


Pneumonia cu condensare
- Deobicei este bacteriană
- Se manifestă prin febră mare, frisoane, stare generală alterată și dificultăți respiratorii semnificative.
- Pe radiografie, apare o zonă albă bine delimitată, ceea ce indică un segment de plămân umplut cu lichid inflamator, unde aerul a fost înlocuit de secreții.
- Aceasta este mai frecventă la copiii peste 2 – 3 ani și necesită tratament antibiotic


În cazurile severe sau dacă există suspiciuni de complicații, precum revărsat pleural (lichid în jurul plămânului), medicul poate recomanda ecografie pulmonară sau tomografie computerizată (CT) pentru o evaluare mai detaliată.
Atentie!
Radiografia toracică nu este necesară în toate cazurile de pneumonie, mai ales dacă simptomele sunt ușoare și copilul răspunde bine la tratamentul inițial. Totuși, este foarte importantă în formele severe, la copiii cu factori de risc sau atunci când diagnosticul este neclar.
Care sunt complicațiile pneumoniei?
Dacă pneumonia nu este tratată corespunzător sau dacă organismul copilului nu reușește să lupte eficient împotriva infecției, pot apărea complicații grave, care necesită intervenție medicală urgentă. Printre cele mai serioase complicații se numără:
1. Abces pulmonar
- Un abces pulmonar este o colecție de puroi localizată într-o zonă a plămânului, care apare atunci când o infecție bacteriană distruge țesutul pulmonar.
- Pe radiografia toracică, abcesul apare ca o cavitate plină cu lichid, iar simptomele includ:
- Febră persistentă, chiar și sub tratament antibiotic.
- Tuse cu expectorație purulentă (secreții groase, uneori cu miros neplăcut).
- Oboseală extremă și scădere în greutate.
- Tratamentul include antibiotice puternice administrate intravenos și, în cazuri severe, drenaj chirurgical al abcesului.
2. Insuficiență respiratorie acută
- În cazurile severe, plămânii pot fi afectați în așa măsură încât nu mai reușesc să furnizeze suficient oxigen organismului, ducând la insuficiență respiratorie acută.
- Aceasta se manifestă prin:
- Dificultăți majore de respirație, cu necesitatea unui efort intens pentru a inspira aer.
- Cianoză (buze, degete și piele albăstruie din cauza lipsei de oxigen).
- Stare de confuzie sau letargie, din cauza afectării creierului de lipsa oxigenului.
- Această complicație necesită spitalizare imediată, oxigenoterapie și, în unele cazuri, suport ventilator (ventilație mecanică).
3. Sepsis
- Sepsisul este o formă gravă de infecție generalizată, care apare atunci când bacteriile din plămâni intră în sânge și se răspândesc în tot corpul.
- Simptomele includ:
- Febră foarte mare sau, dimpotrivă, temperatură scăzută anormală.
- Tahicardie (bătăi rapide ale inimii) și tensiune arterială scăzută.
- Stare de somnolență excesivă sau agitație severă.
- În cazurile critice, poate apărea șoc septic, o urgență medicală care poate duce la insuficiență multiplă de organ.
- Tratamentul se face exclusiv în spital, cu antibiotice administrate intravenos, fluide și suport intensiv.
Alte complicații posibile ale pneumoniei
- Pleurita și revărsatul pleural – acumularea de lichid între plămâni și peretele toracic, care poate necesita drenaj.
- Atelectazia – colapsul unei părți a plămânului, care îngreunează respirația.
- Sindromul de detresă respiratorie acută (SDRA) – o afecțiune gravă în care plămânii nu mai pot oxigena sângele, necesitând îngrijire intensivă.
Cum prevenim complicațiile?
- Diagnostic și tratament precoce – consultarea medicului la primele semne de pneumonie.
- Administrarea corectă a tratamentului antibiotic, dacă este prescris.
- Monitorizarea atentă a simptomelor – orice agravare trebuie raportată urgent medicului.
- Vaccinarea împotriva pneumococului, Haemophilus influenzae și gripei.
Care este tratamentul ?
Tratamentul pneumoniei diferă în funcție de tipul infecției și de severitatea simptomelor.
- Pneumonia bacteriană necesită antibiotice prescrise de medic, cum ar fi amoxicilina sau cefalosporinele. Este important ca tratamentul să fie urmat complet, chiar dacă simptomele încep să se amelioreze.
- Pneumonia virală se tratează simptomatic, cu antitermice (precum paracetamol sau ibuprofen – dacă nu știi cum să tratezi febra poți achiziționa acest eBook) pentru febră și multe lichide pentru hidratare. În unele cazuri, poate fi necesar un tratament antiviral, mai ales dacă pneumonia este cauzată de gripă. Dacă vrei mai multe detalii despre gripă dă click aici!
- Oxigenoterapia este necesară în situațiile în care copilul are un nivel scăzut de oxigen în sânge.
- Internarea este recomandată pentru copiii sub 2 luni, pentru cei cu forme severe sau care prezintă complicații.
Tratamentul trebuie stabilit de medic, iar monitorizarea atentă a simptomelor este esențială pentru o recuperare rapidă.
Cum putem preveni pneumonia?
Prevenția pneumoniei este esențială pentru protejarea sănătății copiilor, mai ales în sezoanele reci, când infecțiile respiratorii sunt mai frecvente. Există mai multe măsuri eficiente care pot reduce semnificativ riscul de îmbolnăvire.
1. Vaccinarea – cea mai eficientă metodă de prevenție
Vaccinurile joacă un rol foarte important în reducerea cazurilor de pneumonie și a complicațiilor acesteia. Apasă aici pentru mai multe detalii despre schema de vaccinare în România.
Cele mai importante vaccinuri care protejează împotriva agenților patogeni ce pot cauza pneumonia sunt:
✅ Vaccinul pneumococic (PCV13) – protejează împotriva Streptococcus pneumoniae, una dintre cele mai frecvente cauze ale pneumoniei bacteriene. Nu este inclus în schema națională de vaccinare fiind un vaccin optional.
✅ Vaccinul Haemophilus influenzae tip B (Hib) – previne infecțiile cu Haemophilus influenzae, un alt agent patogen care poate provoca pneumonie severă la copii.
✅ Vaccinul antigripal – recomandat anual, deoarece virusul gripal poate duce la pneumonie virală sau poate favoriza suprainfecțiile bacteriene. Pentru mai multe detalii despre gripă dă click aici!
✅ Vaccinul DTP (difterie, tetanos, pertussis) – protejează împotriva tusei convulsive (Bordetella pertussis), care poate evolua spre pneumonie, mai ales la sugari. Dacă vrei să știi mai multe despre tusea convulsivă dă click aici!
✅ Vaccinul împotriva rujeolei – rujeola poate cauza complicații pulmonare grave, inclusiv pneumonie.
2. Igiena corectă și evitarea expunerii la agenți infecțioși
Bolile respiratorii se transmit ușor prin picături de salivă, tuse și suprafețe contaminate. Pentru a reduce riscul de infecție:
🧼 Spălați frecvent mâinile copilului și ale adulților din jur, mai ales înainte de mese și după contactul cu persoane bolnave.
🤧 Învățați copilul să-și acopere gura și nasul cu un șervețel sau cu pliul cotului atunci când tușește sau strănută.
🚫 Evitați contactul cu persoanele bolnave de gripă, răceală sau alte infecții respiratorii.
🧴 Dezinfectați jucăriile și obiectele des utilizate de copii, mai ales în colectivități (grădiniță, școală).
3. Un sistem imunitar puternic prin alimentație și stil de viață sănătos
Un organism bine hrănit și îngrijit poate lupta mai eficient împotriva infecțiilor.
🥦 Alimentație echilibrată – o dietă bogată în vitamine (în special vitamina C și D), minerale și proteine susține imunitatea. Fructele, legumele, lactatele și proteinele de calitate sunt esențiale.
💧 Hidratarea corectă – apa și ceaiurile ajută la menținerea sănătății mucoaselor respiratorii, prevenind uscarea lor și favorizarea infecțiilor.
😴 Somnul suficient – un copil odihnit are un sistem imunitar mai puternic.
🚶♂️ Activitatea fizică și aerisirea încăperilor – exercițiile fizice regulate și plimbările în aer liber contribuie la dezvoltarea unui sistem respirator sănătos.
4. Evitarea factorilor de risc
🚬 Nu expuneți copilul la fumul de țigară – fumul pasiv irită căile respiratorii și crește susceptibilitatea la infecții pulmonare.
🏡 Mențineți un mediu curat și aerisit – praful, mucegaiul și aerul uscat pot afecta sănătatea plămânilor copilului.
👶 Continuați alăptarea – laptele matern oferă anticorpi care protejează sugarii împotriva infecțiilor respiratorii.
În concluzie
Pneumonia la copii este o afecțiune serioasă, dar cu diagnostic și tratament corect, majoritatea copiilor se recuperează complet. Dacă observați febră mare, tuse persistentă sau dificultăți de respirație, consultați un medic cât mai curând posibil.
Acest articol ți-a fost oferit de către doctorul Rață Andrei. Dă click aici pentru a face o programare!
Dacă ai vreo întrebare legată de acest subiect sau de oricare alt subiect, nu uita că îmi poți scrie pe Medic.Chat , iar eu îți voi răspunde în cel mai scurt timp.
Dacă dorești un consult online atunci mă poți găsi pe aplicația Ringdoc! Apasă aici pentru a stabili o programare!
Dacă informațiile oferite v-au fost utile și doriți să sprijiniți proiectul PediDuck, puteți să-mi arătați aprecierea prin donarea unui “🐣Bobocel de Rață” pentru a crește stolul de Rățuște accesând următorul link: https://buymeacoffee.com/pediduckf. Acest gest mă ajută să continui să creez conținut de calitate și să ofer sfaturi valoroase pentru părinți. Vă mulțumesc din suflet pentru susținere!
Bibliografie
1. Ghiduri și protocoale medicale
- Organizația Mondială a Sănătății (OMS). Guidelines for the Management of Childhood Pneumonia. Geneva: WHO, 2014.
- Centers for Disease Control and Prevention (CDC). Pneumonia: Causes, Symptoms, Treatment, and Prevention. Atlanta: CDC, 2022.
- Societatea Română de Pneumologie. Protocolul de diagnostic și tratament al pneumoniei la copii. București, 2021.
- Ministerul Sănătății din România. Scheme naționale de vaccinare și prevenția infecțiilor respiratorii.
2. Cărți și articole medicale
- Nelson, W. E., et al. Nelson Textbook of Pediatrics. 21st ed. Philadelphia: Elsevier, 2019.
- Long, S. S., et al. Principles and Practice of Pediatric Infectious Diseases. 5th ed. Elsevier, 2018.
- McIntosh, K. Community-Acquired Pneumonia in Children: Clinical Manifestations and Diagnosis. UpToDate, 2023.
- Rudan, I., et al. “Epidemiology and Etiology of Childhood Pneumonia.” Bulletin of the World Health Organization, vol. 86, no. 5, 2008, pp. 408–416.
3. Resurse online și educaționale
- Mayo Clinic. Pneumonia in Children: Symptoms, Causes, and Treatments. www.mayoclinic.org, 2023.
- Harvard Health Publishing. Preventing Respiratory Infections in Children. www.health.harvard.edu, 2022.
- National Health Service (NHS). Pneumonia in Children: When to Seek Medical Help. www.nhs.uk, 2023.
